69
Capítulo 15. Como pode a tracção vítreo-macular influenciar a degenerescência macular da idade?
não encontrou maior frequência de desen-
volvimento de DMI neovascular no fim do
tempo de seguimento nos doentes com
adesão vítreo-macular
6
.
Por outro lado, a exsudação crónica exis-
tente na DMI exsudativa, associada à infla-
mação crónica e à existência de tecido ci-
catricial em algumas lesões neovasculares,
são argumentos muitas vezes usados para
apoiar a hipótese de o descolamento poste-
rior do vítreo incompleto ser uma complica-
ção da DMI exsudativa e não a sua causa
7
.
Relativamente aos diferentes fenótipos da
DMI exsudativa não parece existir qualquer
relação entre adesão ou tracção vítreo-ma-
cular e vasculopatia polipoide da coroideia
8
.
Em contrapartida, alguns autores referem
maior frequência de lesões com prolifera-
ção angiomatosa da retina entre os doentes
com adesão vítreo-macular
9
.
Para concluir, a existência de adesão ví-
treo-macular tem sido apontada por alguns
autores como factor de mau prognóstico
para resposta ao tratamento anti-VEGF da
DMI exsudativa (Figuras 3 e 4). Têm sido
encontrados piores resultados visuais em
doentes com DMI neovascular se a ade-
são vítreo-macular estiver presente, doen-
tes sem AVM necessitam de menor número
de injecções após a dose de indução para
manterem o benefício visual e alguns au-
tores sugerem que a AVM pode ser uma
característica morfológica de um grupo de
não respondedores ao tratamento anti-VE-
GF
10-11
.
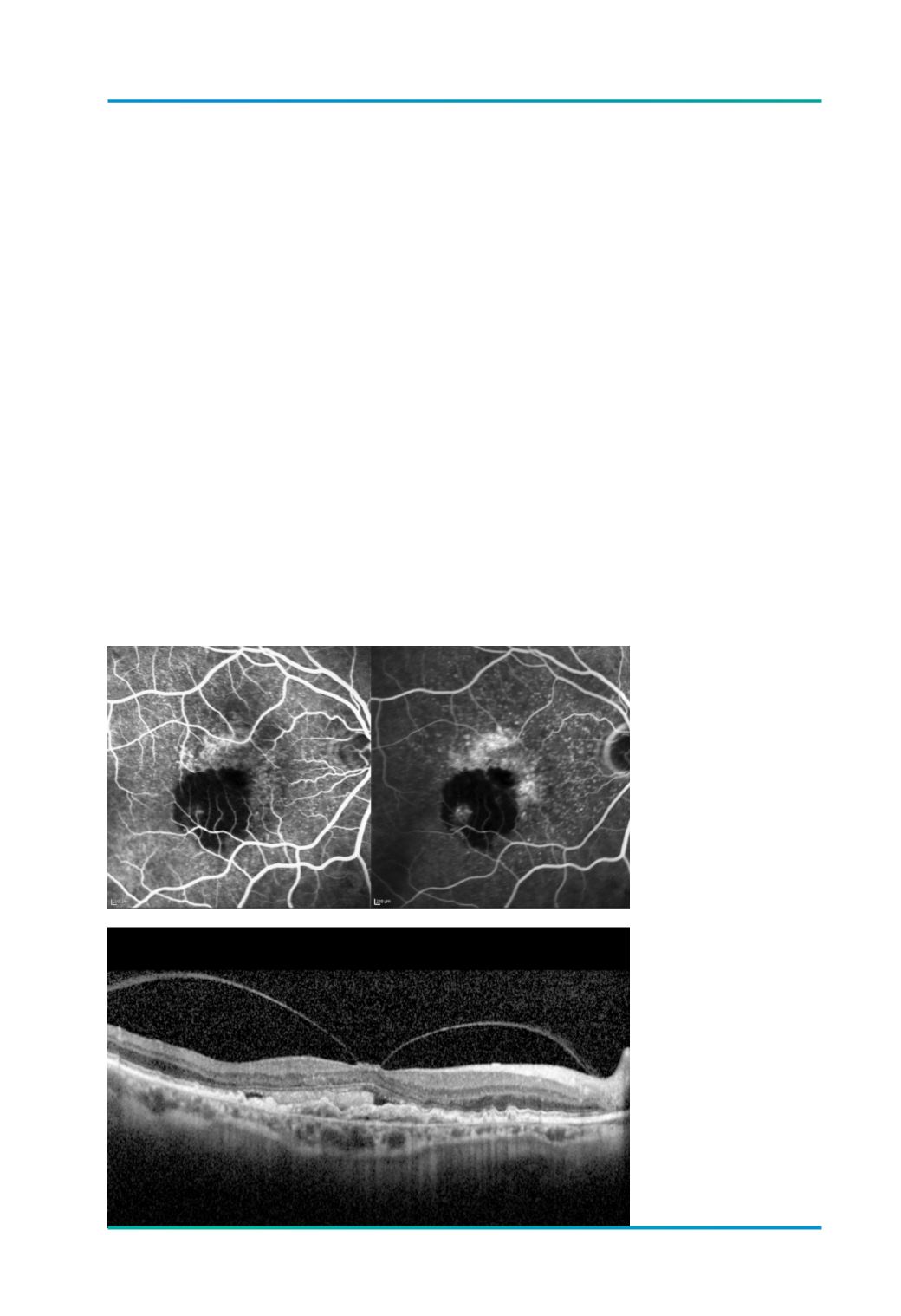
Figura 3.
Lesão de NVC
subfoveal, oculta tipo 1,
associada a TVM, antes
do inicio do tratamento
anti-VEGF.




