101
•
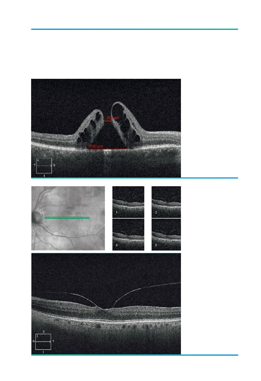
Raster scan – 5 linhas, cinco imagens que
avaliam determinada área, igualmente es-
paçadas, e cujo espaçamento e compri-
mento podem ser alterados (Figura 5) ou
localização (Figuras 6 e 7) se a situação o
indicar. Também permite obter medições,
Capítulo 21. Qual a estratégia de realização
da tomografia de coerência óptica que devemos utilizar na patologia da interface?
Figura 4.
Medições num buraco
macular.
Figura 5.
Raster scan – diminuição
do espaçamento.




