106
A interface vítreo-retiniana
AVM, TVM e BM
25 Perguntas e respostas
centagem mas de duração desconhecida, po-
deria contribuir para uma elevada variabilida-
de da sensibilidade macular no BML. Através
da avaliação por SD-OCT a profundidade do
BML era o único parâmetro morfológico que
mostrava uma associação com a sensibilidade
macular. Por outro lado a MAVC não estava
relacionada com as dimensões morfológicas
do BML, o que não é comparável com o en-
contrado por outros autores
5
.
Estudos efectuados em doentes operados
por membrana epirretiniana
6,7
confirmaram a
correlação entre as imagens da elipsóide dos
segmentos internos dos fotorreceptores por
SD-OCT e a microperimetria em olhos com
recuperação da MAVC pós-operatória, não
apenas na fóvea mas também nas áreas pa-
rafoveolares. A existência de micro escotomas
em olhos submetidos a pelagem da MLI even-
tualmente por traumatismo cirúrgico, foi reve-
lada por microperimetria.
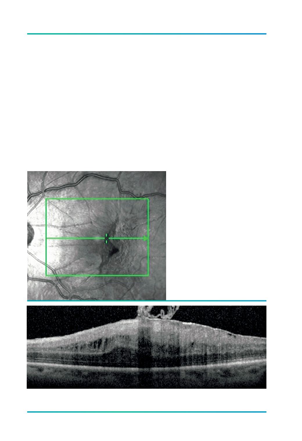
Apresenta-se o exemplo de doente com mem-
brana epirretiniana do olho esquerdo e acuidade
visual de 0,05 no pré operatório nas figuras 1, 2 e
3 e o pós operatório de 6 meses com acuidade
visual de 4/10 nas figuras 4, 5 e 6.
Figura 1.
Retinografia pré-operatória com
MPM.
Figura 2.
SD-OCT pré-operatório.




