107
Capítulo 22. A microperimetria é útil na avaliação da patologia da interface?
Figura 3.
Microperimetria MP1 pré-operatória
com sensibilidade média de 5,9 dB.
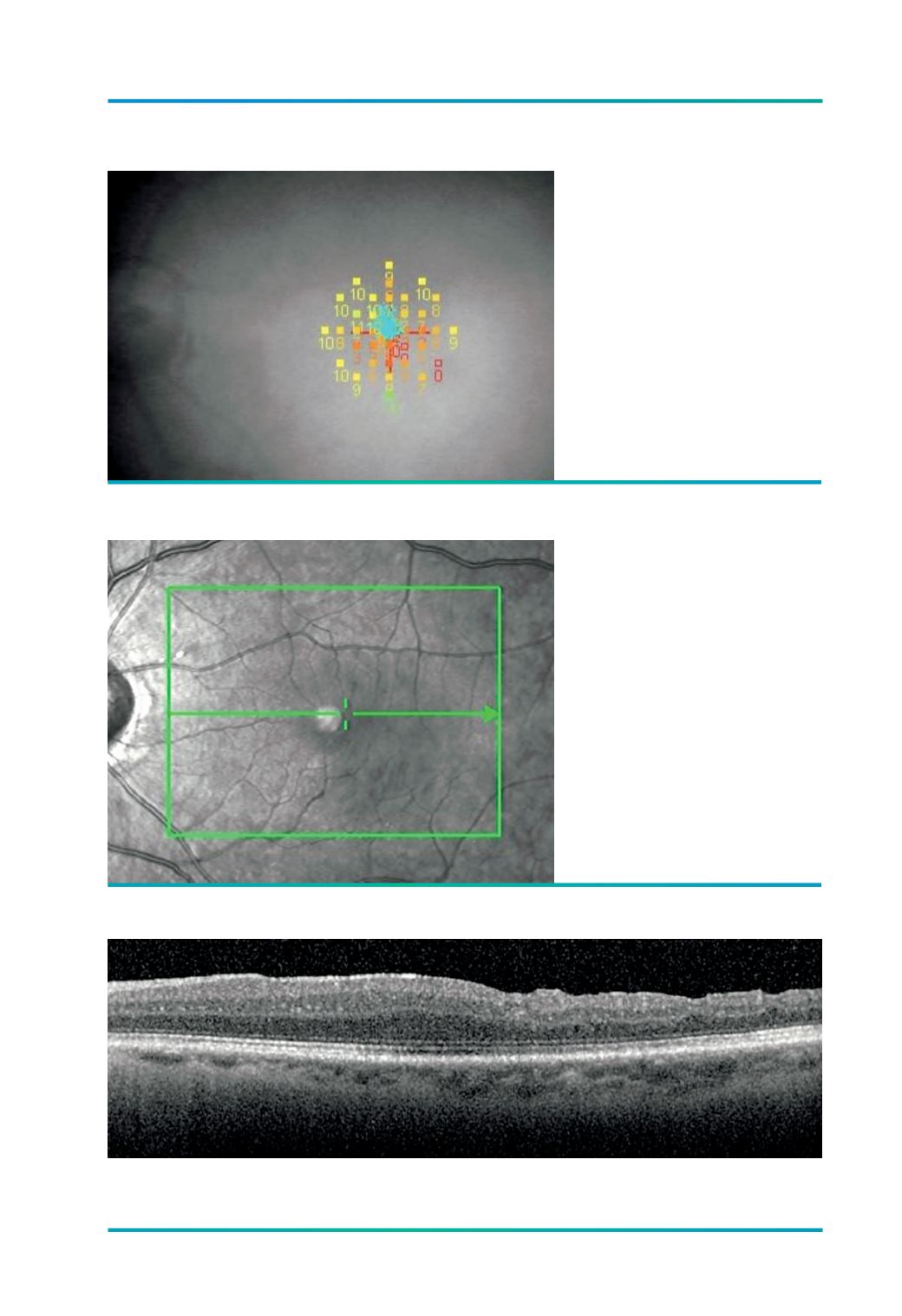
Figura 4.
Retinografia 6 meses após cirurgia
com extracção de MPM e MLI..
Figura 5.
SD-OCT pós-operatório.




