115
Capítulo 24. A angiografia fluoresceínica e a autofluorescência são úteis na patologia da interface?
AF NA MEMBRANA EPIRRETINIANA
(MER) E TRACÇÃO VÍTREO-MACULAR
E SEU VALOR PROGNÓSTICO
Atendendo a que a autofluorescência traduz
o estado funcional do EPR, pela acumulação
da lipofuscina resultante do metabolismo dos
segmentos externos dos fotorreceptores (FR),
seria de prever que a patologia da interface,
que pela sua extensão condicione altera-
ções significativas da retina externa e EPR,
se associe a alterações da autofluorescência.
Alguns autores demonstraram um aumento
da hipoAF foveal, que poderá ser parcialmente
atribuído ao efeito máscara duma fibrogliose
ou hialoideia posterior espessadas ou a uma
redistribuição do pigmento macular pelo efeito
traccional das mesmas, para a qual parecem
contribuir uma disrupção funcional do comple-
xo EPR-FR
1
(Figura 2).
Nos primeiros 2 meses após a cirurgia de
MER com remoção da limitante interna, pode
ocorrer um edema da camada das fibras ner-
vosas arqueadas da retina, que, apesar de
imperceptível à fundoscopia, se detecta fa-
cilmente na AF através de estrias arqueadas
hipofluorescentes, com ponto de partida na
papila e dirigidas à mácula, com tradução hi-
perreflectiva no OCT
2,3
. A AF permite ainda, no
pós-operatório destes doentes, a detecção de
um encurtamento da distância papilo-foveal,
que se especula que possa ocorrer devido a
alterações do transporte axonal ou da contrac-
tilidade destas fibras nervosas
3
.
Foram recentemente publicados alguns estu-
dos que mostram que a recuperação de uma
normal AF foveal após cirurgia de MER é um
factor de bom prognóstico visual, por vezes
precedendo a recuperação da linha de junção
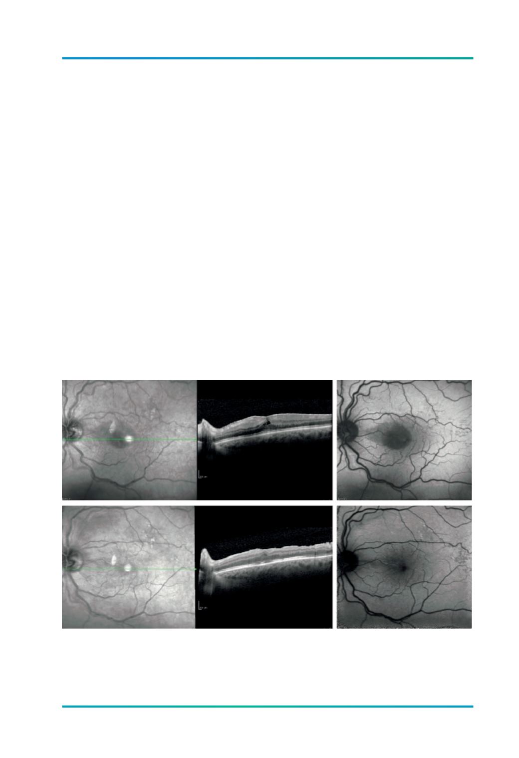
Figura 2.
A pré-operatório- CT com membrana epirretiniana condicionando um edema traccional da retina onde
são evidentes interrupções na MLE no feixe papilo-macular; AV 3/10. B) Hipo-autofluorescência na região
macular central e feixe papilo-macular secundária à presença da MER. C) pós-operatório - OCT 3 meses
após extracção da MER. D )recuperação quase total da normal auto-fluorescência macular; AV 6/10.
A
B
C
D




