112
PERGUNTAS & RESPOSTAS
EMD
- Edema Macular Diabético
Irvine-Gass surge entre 4-6 semanas após cirurgia (EMD surge em dias). Na AF
há hiper`uorescência peripapilar (não presente no EMD) e aspeto petalóide na
mácula, e o OCT mostra edema macular cístico atingindo preferencialmente as
camadas mais anteriores da retina, sem desorganização das mesmas. No EMD,
este pode ser espongiforme, difuso, com microquistos, com desorganização das
camadas e atingimento e/ou atro%a da camada de fotorreceptores (importante
para o prognóstico visual). Normalmente acompanha-se com lesões de retino-
patia diabética como microaneurismas, hemorragias e/ou exsudados maculares
(Figuras 1 e 2).
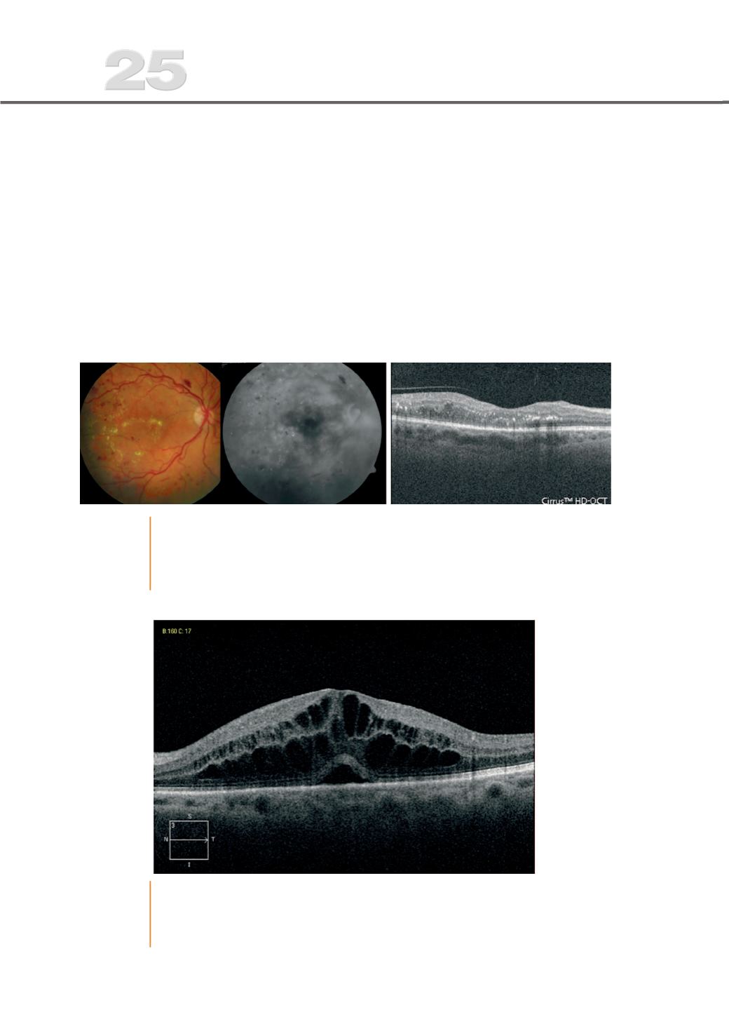
Fig. 1
EMD em que na retinogra%a e angiogra%a se visualizam lesões de RD como
hemorragias, exsudados, derrame difuso, e no OCT alguns quistos, pontos
hiperre`etivos correspondentes a hemorragias e exsudados, desorganização
moderada das camadas e atro%a da camada de fotorreceptores e EPR.
Fig. 2
EMC no OCT. Presença de espaços quísticos simetricamente distribuídos
em redor da fóvea, não provocando uma disrupção ou desorganização
das camadas da retina e com preservação da continuidade do complexo
fotorreceptores-EPR




