22
A interface vítreo-retiniana
AVM, TVM e BM
25 Perguntas e respostas
Na AVM não coexiste alteração estrutural da
arquitectura macular, nem repercussão na
função visual (Figura 1), podendo libertar-se
espontaneamente (Figura 2).
Por oposição, se a AVM exerce uma força trac-
cional que leve a distorção e alterações estrutu-
rais da mácula, estamos perante um síndrome
de tracção vítreo-macular (TVM) (Figura 3).
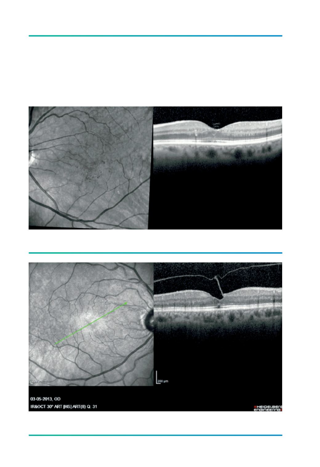
Figura 2.
Libertação espontânea da adesão vítreo-macular numa oclusão venosa após terapêutica com anti-VEGF.
Figura 3.
Tracção vítreo-macular. A hialóide posterior separa-se da retina, mantendo-se parcialmente aderente à fóvea.




