35
Capítulo 8. O que é uma adesão ou tracção vítreo-macular concomitante?
a retinopatia diabética e a DMI pode interferir
na IVR. Processos inflamatórios locais, cróni-
cos, com evidência de neovascularização e
gliose reactiva podem induzir alterações es-
truturais ao nível da IVR, favorecendo a acção
de forças traccionais
13
. Torna-se assim difícil
o estabelecimento de uma relação de causa-
lidade inequívoca, podendo estar em causa
mecanismos de influência bidireccional e re-
cíproca ao nível das estruturas da superfície
interna da retina.
O DPV anómalo surge como um interveniente
importante em doenças em que o papel da li-
quefacção vítrea e as interacções ao nível da
IVR não foram, até alguns anos atrás, suficien-
temente valorizados no âmbito da sua fisiopa-
tologia
14
. A interacção entre a AVM e TVM e
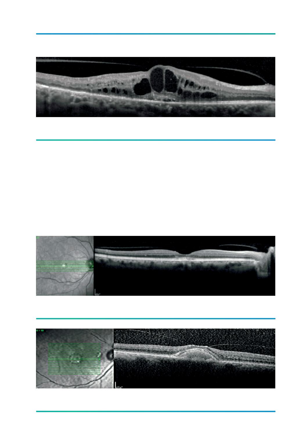
Figura 3.
TVM focal associada a EMD.
Figura 4.
AVM alargada no contexto de distrofia viteliforme.
Figura 5.
TVM focal associada a distrofia viteliforme.




