80
A interface vítreo-retiniana
AVM, TVM e BM
25 Perguntas e respostas
MLI e tamponamento com gás. É possível que
a associação da vitrectomia com a colocação
de um explante macular possa trazer algum
benefício na resolução destas situações. As-
sim outro grupo de autores
15
operou 16 olhos
com foveosquisis, com baixa progressiva da
acuidade visual, com descolamento foveal e/
ou buraco lamelar; utilizaram dois tipos de ex-
plantes, um de silicone e outro de Ando
16
, as-
sociados a vitrectomia, sem pelagem da MLI;
87,5 % dos olhos obtiveram melhoria da acui-
dade visual; e todos os pacientes tiveram uma
redução da espessura retiniana. Os dois tipos
de explante mostraram uma percentagem se-
melhante de complicações, sendo a mais fre-
quente o aparecimento de áreas localizadas de
atrofia do epitélio pigmentado.
BURACO MACULAR MIÓPICO (BMM)
Quando há um buraco macular, o doente pode
aperceber-se de um escotoma absoluto ou quei-
xar-se pura e simplesmente de baixa da acuidade
visual. O buraco é também muito difícil de avaliar
na biomicroscopia do fundo ocular e o sinal de
Watzke-Allen é geralmente negativo
1
. O OCT é
mais uma vez fundamental e distingue dois tipos
de buraco com uma implicação prognóstica e de
tratamento diferentes:
1.
O BMM com um aspecto no OCT se-
melhante ao buraco macular idiopático
,
não associado a retinosquisis, apenas com
os bordos espessados e com alguns cistos
retinianos (Figuras 5 e 6), geralmente aparece
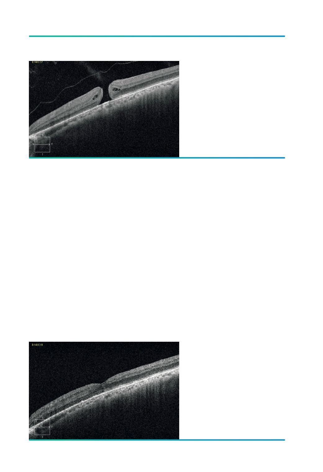
Figura 5.
Buraco Macular Miópico Miopia - 7.50 D
C.Ax- 28,6 mm.
Figura 6.
Um ano após vitrectomia, pelagem da
MLI, tamponamento com gás.




